A Bondi lifeguard who rushed barefoot toward gunfire has spoken publicly for the first time about treating injured victims and the lasting impact of the attack
A minute’s silence, candlelight tributes and illuminated landmarks will mark the national day of mourning
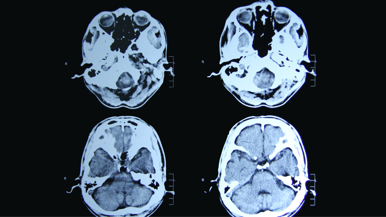
Battered but unbowed, a 79-year-old Gold Coast man is recovering from emergency surgery after being attacked with a golf club during a home invasion.
The family of a Sydney boy attacked by a shark in the harbour are being supported by friends as a string of shark encounters prompts beach closures across the northern beaches
Authorities are examining the circumstances of the tragic passing of a young backpacker on Fraser Island (K'gari) amid reports of dingo interference. Read more:
The music world is mourning the loss of Midnight Oil drummer Rob Hirst, who has died aged 70 following an almost three-year battle with cancer
Australia is mourning the loss of Dame Marie Bashir, a trailblazer whose compassion and lifelong service shaped NSW and touched generations.
The Italian designer behind some of the most iconic gowns in modern fashion history has died in Rome surrounded by family
As he recovers from gunshot wounds that may cost him the use of his hand, Ahmed Al-Ahmed says he has no regrets, despite facing online backlash.
Police officer Scott Dyson has been reunited with his colleagues for the first time since he was critically injured while trying to save lives during the Bondi Beach massacre.
Tears were shed in federal parliament as the Prime Minister and MPs across parties honoured the 15 people killed in the December 14 Bondi terror attack
The broadcaster is recovering in hospital after suffering a nasty fall in London, revealing the incident in a social media update shared from his hospital bed